RNF138,环指蛋白138抗体
英文名称: Anti-RNF138 antibody
型号:null    抗体货号: HZ-9254R
价格:请致电:010-57128832,18610462672
品牌: 中国/美国    产品商标: hzbscience

RNF138,环指蛋白138抗体

产品编号HZ-9254R
英文名称RNF138
中文名称环指蛋白138抗体
别 名E3 ubiquitin protein ligase RNF138; E3 ubiquitin-protein ligase RNF138; hNARF; HSD 4; HSD4; MGC8758; NARF; Nemo like kinase associated RING finger protein; Nemo-like kinase-associated RING finger protein; NLK associated RING finger protein; NLK-associated RING finger protein; RING finger protein 138; RN138_HUMAN; Rnf138; STRIN.
说 明 书0.1ml 0.2ml
研究领域细胞生物 细胞周期蛋白 表观遗传学
抗体来源Rabbit
克隆类型Polyclonal
交叉反应 Human, Mouse, Rat, Dog, Pig, Cow, Horse, Rabbit, Sheep,
RNF138,环指蛋白138抗体产品应用WB=1:100-500 ELISA=1:500-1000 IHC-P=1:100-500 IHC-F=1:100-500 IF=1:50-200 (石蜡切片需做抗原修复)
not yet tested in other applications.
optimal dilutions/concentrations should be determined by the end user.
分 子 量28kDa
性 状Lyophilized or Liquid
浓 度1mg/1ml
免 疫 原KLH conjugated synthetic peptide derived from human RNF138
亚 型IgG
纯化方法affinity purified by Protein A
储 存 液0.01M TBS(pH7.4) with 1% BSA, 0.03% Proclin300 and 50% Glycerol.
保存条件Store at -20 °C for one year. Avoid repeated freeze/thaw cycles. The lyophilized antibody is stable at room temperature for at least one month and for greater than a year when kept at -20°C. When reconstituted in sterile pH 7.4 0.01M PBS or diluent of antibody the antibody is stable for at least two weeks at 2-4 °C.
RNF138,环指蛋白138抗体PubMedPubMed
产品介绍background:
E3 ubiquitin-protein ligase. Together with NLK, involved in the ubiquitination and degradation of TCF/LEF. Also exhibits auto-ubiquitination activity in combination with UBE2K. May act as a negative regulator in the Wnt/beta-catenin-mediated signaling pathway.

Function:
E3 ubiquitin-protein ligase. Together with NLK, involved in the ubiquitination and degradation of TCF/LEF. Also exhibits auto-ubiquitination activity in combination with UBE2K. May act as a negative regulator in the Wnt/beta-catenin-mediated signaling pathway.

Subunit:
Interacts with NLK.

Post-translational modifications:
Auto-ubiquitinated.

RNF138,环指蛋白138抗体Similarity:
Contains 1 RING-type zinc finger.

Gene ID:
51444

Database links:
Entrez Gene: 51444 Human
Entrez Gene: 56515 Mouse
Entrez Gene: 94196 Rat
SwissProt: Q8WVD3 Human
SwissProt: Q9CQE0 Mouse
SwissProt: Q99PD2 Rat
Unigene: 302408 Human
Unigene: 253542 Mouse
Unigene: 6814 Rat

RNF138,环指蛋白138抗体Important Note:
This product as supplied is intended for research use only, not for use in human, therapeutic or diagnostic applications. 

产品图片
Tissue/cell: rat brain tissue; 4% Paraformaldehyde-fixed and paraffin-embedded; 
Antigen retrieval: citrate buffer ( 0.01M, pH 6.0 ), Boiling bathing for 15min; Block endogenous peroxidase by 3% Hydrogen peroxide for 30min; Blocking buffer (normal goat serum,C-0005) at 37℃ for 20 min; 
Incubation: Anti-RNF138 Polyclonal Antibody, Unconjugated(HZ-9254R) 1:200, overnight at 4°C, followed by conjugation to the secondary antibody(SP-0023) and DAB(C-0010) staining
Tissue/cell: rat brain tissue;4% Paraformaldehyde-fixed and paraffin-embedded; 
Antigen retrieval: citrate buffer ( 0.01M, pH 6.0 ), Boiling bathing for 15min; Blocking buffer (normal goat serum,C-0005) at 37℃ for 20 min; 
Incubation: Anti-RNF138 Polyclonal Antibody, Unconjugated(HZ-9254R) 1:200, overnight at 4°C; The secondary antibody was Goat Anti-Rabbit IgG, Cy3 conjugated(bs-0295G-Cy3)used at 1:200 dilution for 40 minutes at 37°C. 
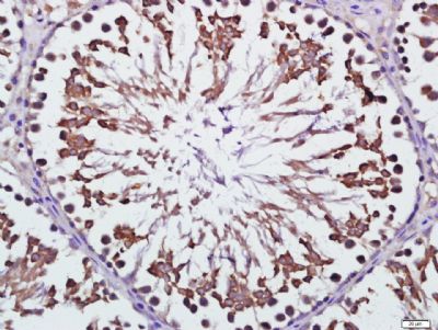
Tissue/cell: Rat testis tissue; 4% Paraformaldehyde-fixed and paraffin-embedded; 
Antigen retrieval: citrate buffer ( 0.01M, pH 6.0 ), Boiling bathing for 15min; Block endogenous peroxidase by 3% Hydrogen peroxide for 30min; Blocking buffer (normal goat serum,C-0005) at 37℃ for 20 min; 
Incubation: Anti-RNF138 Polyclonal Antibody, Unconjugated(HZ-9254R) 1:500, overnight at 4°C, followed by conjugation to the secondary antibody(SP-0023) and DAB(C-0010) staining