Neurogranin,神经颗粒素抗体
英文名称: Anti-Neurogranin antibody
型号:null    抗体货号: HZ-11435R
价格:请致电:010-57128832,18610462672
品牌: 中国/美国    产品商标: hzbscience

Neurogranin,神经颗粒素抗体

产品编号HZ-11435R
英文名称Neurogranin
中文名称神经颗粒素抗体
别 名Calmodulin binding protein; Hng; NEUG(55-78); NEUG_HUMAN; Neurogranin (protein kinase C substrate); Ng; NG; NRGN; Protein kinase C substrate; RC3; BICKS.
说 明 书0.1ml 0.2ml
研究领域细胞生物 神经生物学 信号转导 激酶和***酸酶
抗体来源Rabbit
克隆类型Polyclonal
交叉反应 Human, Mouse, Rat, Dog, Pig, Cow, Horse, Rabbit,
Neurogranin,神经颗粒素抗体产品应用WB=1:100-500 ELISA=1:500-1000 IHC-P=1:100-500 IHC-F=1:100-500 ICC=1:100-500 IF=1:100-500 (石蜡切片需做抗原修复)
not yet tested in other applications.
optimal dilutions/concentrations should be determined by the end user.
分 子 量7.6kDa
性 状Lyophilized or Liquid
浓 度1mg/1ml
免 疫 原KLH conjugated synthetic peptide derived from human NG/Neurogranin (30-78aa)
亚 型IgG
纯化方法affinity purified by Protein A
储 存 液0.01M TBS(pH7.4) with 1% BSA, 0.03% Proclin300 and 50% Glycerol.
保存条件Store at -20 °C for one year. Avoid repeated freeze/thaw cycles. The lyophilized antibody is stable at room temperature for at least one month and for greater than a year when kept at -20°C. When reconstituted in sterile pH 7.4 0.01M PBS or diluent of antibody the antibody is stable for at least two weeks at 2-4 °C.
Neurogranin,神经颗粒素抗体PubMedPubMed
产品介绍background:
Neurogranin (NRGN) is the human homolog of the neuron-specific rat RC3/neurogranin gene. This gene encodes a postsynaptic protein kinase substrate that binds calmodulin in the absence of calcium. The NRGN gene contains four exons and three introns. The exons 1 and 2 encode the protein and exons 3 and 4 contain untranslated sequences. It is suggested that the NRGN is a direct target for thyroid hormone in human brain, and that control of expression of this gene could underlay many of the consequences of hypothyroidism on mental states during development as well as in adult subjects. [provided by RefSeq, Jul 2008].

Function:
Acts as a "third messenger" substrate of protein kinase C-mediated molecular cascades during synaptic development and remodeling. Binds to calmodulin in the absence of calcium.

Tissue Specificity:
In the cerebral cortex, found in the cell bodies of neurons in layers II-VI, and in apical and basal dendrites of pyramidal neurons. Is not found in the dendrites in patients with Alzheimer disease.

Post-translational modifications:
Phosphorylated at Ser-36 by PHK

Similarity:
Belongs to the neurogranin family.
Contains 1 collagen-like domain.
Contains 1 IQ domain.

Database links:
Entrez Gene: 616955 Cow
Entrez Gene: 4900 Human
Entrez Gene: 64011 Mouse
Entrez Gene: 64356 Rat
Omim: 602350 Human
SwissProt: P35722 Cow
SwissProt: Q92686 Human
SwissProt: P60761 Mouse
SwissProt: Q04940 Rat
Unigene: 524116 Human
Unigene: 335065 Mouse
Unigene: 11236 Rat

Neurogranin,神经颗粒素抗体Important Note:
This product as supplied is intended for research use only, not for use in human, therapeutic or diagnostic applications. 

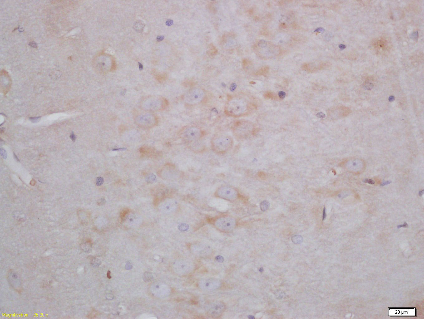
产品图片
Tissue/cell: rat brain tissue; 4% Paraformaldehyde-fixed and paraffin-embedded; 
Antigen retrieval: citrate buffer ( 0.01M, pH 6.0 ), Boiling bathing for 15min; Block endogenous peroxidase by 3% Hydrogen peroxide for 30min; Blocking buffer (normal goat serum,C-0005) at 37℃ for 20 min; 
Incubation: Anti-Neurogranin Polyclonal Antibody, Unconjugated(HZ-11435R) 1:200, overnight at 4°C, followed by conjugation to the secondary antibody(SP-0023) and DAB(C-0010) staining