STAU2,双链RNA结合蛋白Staufen2抗体
英文名称: Anti-STAU2 antibody
型号:null    抗体货号: HZ-11031R
价格:请致电:010-57128832,18610462672
品牌: 中国/美国    产品商标: hzbscience

STAU2,双链RNA结合蛋白Staufen2抗体

产品编号HZ-11031R
英文名称STAU2
中文名称双链RNA结合蛋白Staufen2抗体
别 名Double stranded RNA binding protein Staufen homolog 2; MGC119606; STAU 2; STAU2; STAU-2; Staufen (Drosophila, RNA-binding protein) homolog 2; Staufen homolog 2; Staufen RNA binding protein homolog 2; Staufen, RNA binding protein, homolog 2 (Drosophila); 39K2; 39K3; DKFZp781K0371; STAU2_HUMAN.
说 明 书0.1ml 0.2ml
研究领域神经生物学 细胞粘附分子 细胞骨架 表观遗传学
抗体来源Rabbit
克隆类型Polyclonal
交叉反应 Human, Mouse, Rat, Dog, Horse, Rabbit, Sheep,
STAU2,双链RNA结合蛋白Staufen2抗体产品应用WB=1:100-500 ELISA=1:500-1000 IHC-P=1:100-500 IHC-F=1:100-500 ICC=1:100-500 IF=1:100-500 (石蜡切片需做抗原修复)
not yet tested in other applications.
optimal dilutions/concentrations should be determined by the end user.
分 子 量63kDa
细胞定位细胞核 细胞浆
性 状Lyophilized or Liquid
浓 度1mg/1ml
免 疫 原KLH conjugated synthetic peptide derived from human STAU2
亚 型IgG
纯化方法affinity purified by Protein A
储 存 液0.01M TBS(pH7.4) with 1% BSA, 0.03% Proclin300 and 50% Glycerol.
保存条件Store at -20 °C for one year. Avoid repeated freeze/thaw cycles. The lyophilized antibody is stable at room temperature for at least one month and for greater than a year when kept at -20°C. When reconstituted in sterile pH 7.4 0.01M PBS or diluent of antibody the antibody is stable for at least two weeks at 2-4 °C.
STAU2,双链RNA结合蛋白Staufen2抗体PubMedPubMed
产品介绍background:
Staufen homolog 2 is a member of the family of double-stranded RNA (dsRNA)-binding proteins involved in the transport and/or localization of mRNAs to different subcellular compartments and/or organelles. These proteins are characterized by the presence of multiple dsRNA-binding domains which are required to bind RNAs having double-stranded secondary structures. Staufen homolog 2 shares 48.5% and 59.9% similarity with drosophila and human staufen, respectively. The exact function of Staufen homolog 2 is not known, but since it contains 3 copies of conserved dsRNA binding domain, it could be involved in double-stranded RNA binding events. Several transcript variants encoding different isoforms have been found for this gene.

Function:
RNA-binding protein required for the microtubule-dependent transport of neuronal RNA from the cell body to the dendrite. As protein synthesis occurs within the dendrite, the localization of specific mRNAs to dendrites may be a prerequisite for neurite outgrowth and plasticity at sites distant from the cell body (By similarity).

STAU2,双链RNA结合蛋白Staufen2抗体Subunit:
Interacts with the exportin XPO5. This requires RNA and RAN bound to GTP. Interacts with microtubules. Isoform 2 and isoform 3 may also interact with ribosomes, and this association is independent of translation (By similarity). Identified in a mRNP complex, at least composed of DHX9, DDX3X, ELAVL1, HNRNPU, IGF2BP1, ILF3, PABPC1, PCBP2, PTBP2, STAU1, STAU2, SYNCRIP and YBX1.

Subcellular Location:
Cytoplasm. Nucleus. Nucleus, nucleolus. Endoplasmic reticulum. Note=Shuttles between the nucleolus, nucleus and the cytoplasm. Nuclear export of isoform 1 is independent of XPO1/CRM1 and requires the exportin XPO5. Nuclear export of isoform 2 and isoform 3 can occur by both XPO1/CRM1-dependent and XPO1/CRM1-independent pathways. Found in large cytoplasmic ribonucleoprotein (RNP) granules which are present in the actin rich regions of myelinating processes and associated with microtubules, polysomes and the endoplasmic reticulum. Also recruited to stress granules (SGs) upon inhibition of translation or oxidative stress. These structures are thought to harbor housekeeping mRNAs when translation is aborted (By similarity).

Similarity:
Contains 4 DRBM (double-stranded RNA-binding) domains.

Database links:
Entrez Gene: 100125233 Cow
Entrez Gene: 477913 Dog
Entrez Gene: 100051157 Horse
Entrez Gene: 27067 Human
Entrez Gene: 29819 Mouse
Entrez Gene: 171500 Rat
Omim: 605920 Human
SwissProt: Q9NUL3 Human
SwissProt: Q8CJ67 Mouse
SwissProt: Q68SB1 Rat
Unigene: 561815 Human
Unigene: 216257 Mouse
Unigene: 73714 Rat

STAU2,双链RNA结合蛋白Staufen2抗体Important Note:
This product as supplied is intended for research use only, not for use in human, therapeutic or diagnostic applications. 

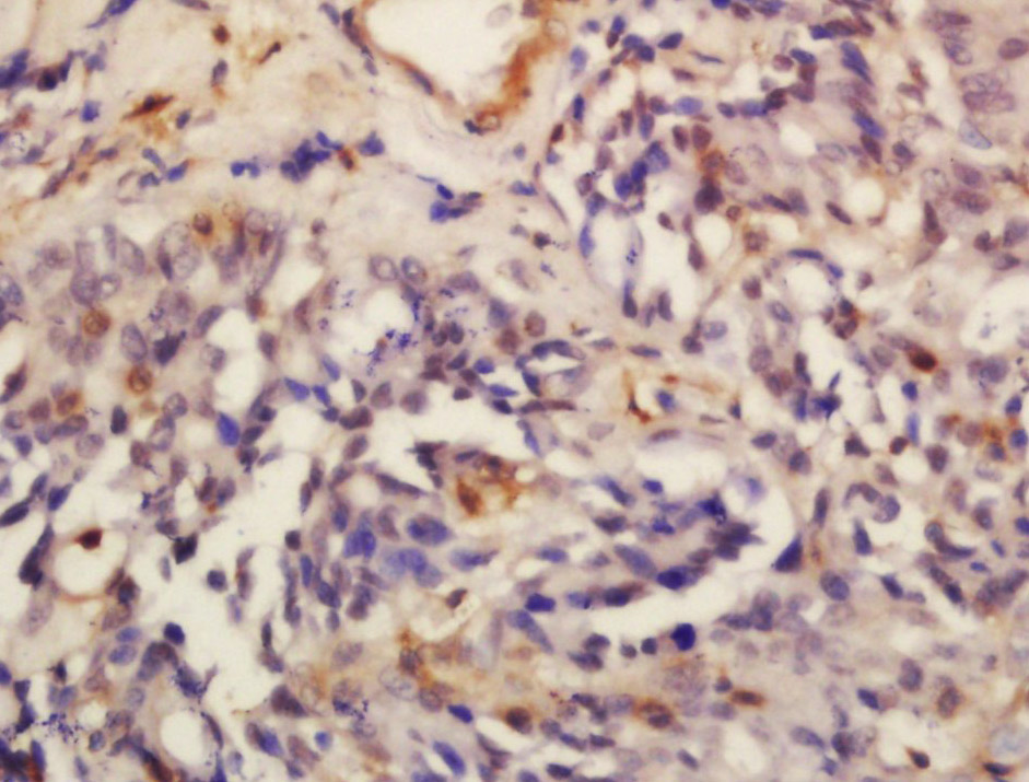
产品图片
Tissue/cell: human gastric carcinoma; 4% Paraformaldehyde-fixed and paraffin-embedded; 
Antigen retrieval: citrate buffer ( 0.01M, pH 6.0 ), Boiling bathing for 15min; Block endogenous peroxidase by 3% Hydrogen peroxide for 30min; Blocking buffer (normal goat serum,C-0005) at 37℃ for 20 min; 
Incubation: Anti-STAU2 Polyclonal Antibody, Unconjugated(HZ-11031R) 1:200, overnight at 4°C, followed by conjugation to the secondary antibody(SP-0023) and DAB(C-0010) staining