NIPAL3,NIPA样蛋白3抗体
英文名称: Anti-NIPAL3 antibody
型号:null    抗体货号: HZ-11097R
价格:请致电:010-57128832,18610462672
品牌: 中国/美国    产品商标: hzbscience

NIPAL3,NIPA样蛋白3抗体

产品编号HZ-11097R
英文名称NIPAL3
中文名称NIPA样蛋白3抗体
别 名NPAL3; NPAL-3; NIPA like domain containing 3; NIPA like protein 3; RGD1563439; RP23-332E2.5; RP3-462O23.3; NPAL3_HUMAN.
说 明 书0.1ml 0.2ml
研究领域神经生物学 细胞粘附分子 细胞膜蛋白
抗体来源Rabbit
克隆类型Polyclonal
交叉反应 Human, Mouse, Rat, Pig, Cow, Horse, Rabbit, Sheep,
NIPAL3,NIPA样蛋白3抗体产品应用WB=1:100-500 ELISA=1:500-1000 IHC-P=1:100-500 IHC-F=1:100-500 ICC=1:100-500 IF=1:100-500 (石蜡切片需做抗原修复)
not yet tested in other applications.
optimal dilutions/concentrations should be determined by the end user.
分 子 量45kDa
细胞定位细胞膜
性 状Lyophilized or Liquid
浓 度1mg/1ml
免 疫 原KLH conjugated synthetic peptide derived from human NIPAL3
亚 型IgG
纯化方法affinity purified by Protein A
储 存 液0.01M TBS(pH7.4) with 1% BSA, 0.03% Proclin300 and 50% Glycerol.
保存条件Store at -20 °C for one year. Avoid repeated freeze/thaw cycles. The lyophilized antibody is stable at room temperature for at least one month and for greater than a year when kept at -20°C. When reconstituted in sterile pH 7.4 0.01M PBS or diluent of antibody the antibody is stable for at least two weeks at 2-4 °C.
NIPAL3,NIPA样蛋白3抗体PubMedPubMed
产品介绍background:
NIPAL3 is a 406 amino acid multi-pass membrane protein that belongs to the NIPA family and exists as three alternatively spliced isoforms. The gene that encodes NPAL3 consists of approximately 57,229 bases and maps to human chromosome 1p36. Chromosome 1 is the largest human chromosome spanning about 260 million base pairs and making up 8% of the human genome. There are about 3,000 genes on chromosome 1, and considering the great number of genes there are also a large number of diseases associated with chromosome 1. Notably, the rare aging disease Hutchinson-Gilford progeria is associated with the LMNA gene which encodes lamin A. When defective, the LMNA gene product can build up in the nucleus and cause characteristic nuclear blebs. The MUTYH gene is located on chromosome 1 and is partially responsible for familial adenomatous polyposis. Stickler syndrome, Parkinsons, Gaucher disease and Usher syndrome are also associated with chromosome 1.

Subcellular Location:
Membrane; Multi-pass membrane protein.

Similarity:
Belongs to the NIPA family.

NIPAL3,NIPA样蛋白3抗体Database links:
UniProtKB/Swiss-Prot: Q6P499.1

Important Note:
This product as supplied is intended for research use only, not for use in human, therapeutic or diagnostic applications. 

产品图片
Tissue/cell: rat brain tissue; 4% Paraformaldehyde-fixed and paraffin-embedded; 
Antigen retrieval: citrate buffer ( 0.01M, pH 6.0 ), Boiling bathing for 15min; Block endogenous peroxidase by 3% Hydrogen peroxide for 30min; Blocking buffer (normal goat serum,C-0005) at 37℃ for 20 min; 
Incubation: Anti-NIPAL3 Polyclonal Antibody, Unconjugated(HZ-11097R) 1:200, overnight at 4°C, followed by conjugation to the secondary antibody(SP-0023) and DAB(C-0010) staining
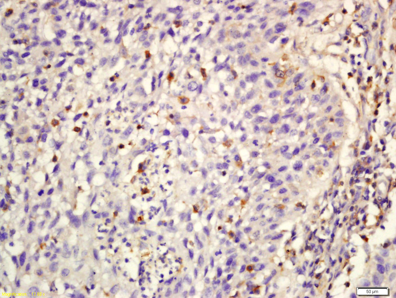
Tissue/cell: human laryngeal tissue; 4% Paraformaldehyde-fixed and paraffin-embedded; 
Antigen retrieval: citrate buffer ( 0.01M, pH 6.0 ), Boiling bathing for 15min; Block endogenous peroxidase by 3% Hydrogen peroxide for 30min; Blocking buffer (normal goat serum,C-0005) at 37℃ for 20 min; 
Incubation: Anti-NIPAL3 Polyclonal Antibody, Unconjugated(HZ-11097R) 1:200, overnight at 4°C, followed by conjugation to the secondary antibody(SP-0023) and DAB(C-0010) staining