DENND4C,MAP激酶激活死亡域蛋白4C抗体
英文名称: Anti-DENND4C antibody
型号:null    抗体货号: HZ-9669R
价格:请致电:010-57128832,18610462672
品牌: 中国/美国    产品商标: hzbscience

DENND4C,MAP激酶激活死亡域蛋白4C抗体

产品编号HZ-9669R
英文名称DENND4C
中文名称MAP激酶激活死亡域蛋白4C抗体
别 名C9orf55; C9orf55B; DEN4C_HUMAN; DENN domain-containing protein 4C; DENN/MADD domain containing 4C; DENND4C.
说 明 书0.1ml 0.2ml
研究领域细胞生物 免疫学
抗体来源Rabbit
克隆类型Polyclonal
交叉反应Human, Mouse, Rat, Cow, Horse, Rabbit, Sheep,
DENND4C,MAP激酶激活死亡域蛋白4C抗体产品应用WB=1:100-500 ELISA=1:500-1000 IHC-P=1:100-500 IHC-F=1:100-500 ICC=1:100-500 IF=1:100-500 (石蜡切片需做抗原修复)
not yet tested in other applications.
optimal dilutions/concentrations should be determined by the end user.
分 子 量187kDa
细胞定位细胞浆 细胞膜
性 状Lyophilized or Liquid
浓 度1mg/1ml
免 疫 原KLH conjugated synthetic peptide derived from human DENND4C
亚 型IgG
纯化方法affinity purified by Protein A
储 存 液0.01M TBS(pH7.4) with 1% BSA, 0.03% Proclin300 and 50% Glycerol.
保存条件Store at -20 °C for one year. Avoid repeated freeze/thaw cycles. The lyophilized antibody is stable at room temperature for at least one month and for greater than a year when kept at -20°C. When reconstituted in sterile pH 7.4 0.01M PBS or diluent of antibody the antibody is stable for at least two weeks at 2-4 °C.
DENND4C,MAP激酶激活死亡域蛋白4C抗体PubMedPubMed
产品介绍background:
DENND4C is a 1,673 amino acid multi-pass membrane protein. DENND4C contains a dDENN domain, DENN domain, uDENN domain and a PPR (pentatricopeptide) repeat. As a result of alternative splicing, six DENND4C isoforms exist. The gene encoding DENND4C maps to human chromosome 9, which houses over 900 genes and comprises nearly 4% of the human genome. Hereditary hemorrhagic telangiectasia, which is characterized by harmful vascular defects, and Familial dysautonomia, are both associated with chromosome 9. Notably, chromosome 9 encompasses the largest interferon family gene cluster.

Function:
Guanine nucleotide exchange factor (GEF) activating RAB10. Promotes the exchange of GDP to GTP, converting inactive GDP-bound RAB10 into its active GTP-bound form. Thereby, stimulates SLC2A4/GLUT4 glucose transporter-enriched vesicles delivery to the plasma membrane in response to insulin.

Subcellular Location:
Cytoplasmic vesicle membrane. Cell membrane. Cytoplasm, cytosol. Note=Associates with SLC2A4/GLUT4 storage vesicles.

Post-translational modifications:
Phosphorylated in response to insulin (By similarity).

Similarity:
Contains 1 dDENN domain.
Contains 1 DENN domain.
Contains 1 PPR (pentatricopeptide) repeat.
Contains 1 uDENN domain.

DENND4C,MAP激酶激活死亡域蛋白4C抗体Database links:
Entrez Gene: 55667 Human
SwissProt: Q5VZ89 Human
Unigene: 249591 Human


Important Note:
This product as supplied is intended for research use only, not for use in human, therapeutic or diagnostic applications. 

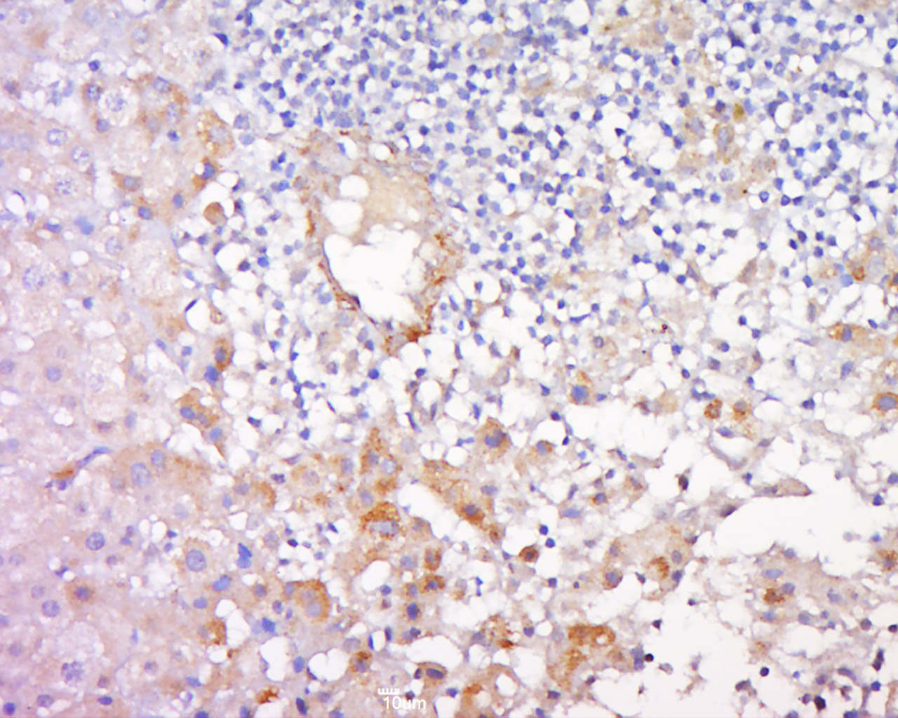
产品图片
Tissue/cell: human liver carcinoma; 4% Paraformaldehyde-fixed and paraffin-embedded; 
Antigen retrieval: citrate buffer ( 0.01M, pH 6.0 ), Boiling bathing for 15min; Block endogenous peroxidase by 3% Hydrogen peroxide for 30min; Blocking buffer (normal goat serum,C-0005) at 37℃ for 20 min; 
Incubation: Anti-DENND4C Polyclonal Antibody, Unconjugated(HZ-9669R) 1:500, overnight at 4°C, followed by conjugation to the secondary antibody(SP-0023) and DAB(C-0010) staining