CD44v4,CD44V4抗体
英文名称: Anti-CD44v4 antibody
型号:null    抗体货号: HZ-2783R
价格:请致电:010-57128832,18610462672
品牌: 中国/美国    产品商标: hzbscience

CD44v4,CD44V4抗体

产品编号HZ-2783R
英文名称CD44v4
中文名称CD44V4抗体
别 名CD44 antigen; CD44 molecule; Heparan sulfate proteoglycan; PGP1; CDW44; CSPG8; ECMR-III; HCELL; HUTCH-I; IN; LHR; MC56; MDU2; MDU3; MGC10468; MIC4; Pgp1; CD44 antigen isoform 4 precursor; hematopoietic cell E- and L-selectin ligand; chondroitin sulfate proteoglycan 8; cell surface glycoprotein CD44; GP90 lymphocyte homing/adhesion receptor; heparan sulfate proteoglycan; hyaluronate receptor; Hermes antigen; CD44 antigen; homing function and Indian blood group system; epican; phagocytic glycoprotein 1; extracellular matrix receptor III.
说 明 书0.1ml 0.2ml
研究领域肿瘤 细胞生物 细胞膜受体 细胞表面分子 糖蛋白 内皮细胞
抗体来源Rabbit
克隆类型Polyclonal
交叉反应Human, Mouse, Dog, Horse, Rabbit,
CD44v4,CD44V4抗体产品应用ELISA=1:500-2000 IHC-P=1:100-500 IHC-F=1:100-500 IF=1:100-500 (石蜡切片需做抗原修复)
not yet tested in other applications.
optimal dilutions/concentrations should be determined by the end user.
分 子 量37kDa
性 状Lyophilized or Liquid
浓 度1mg/1ml
免 疫 原KLH conjugated synthetic peptide derived from human CD44v4
亚 型IgG
纯化方法affinity purified by Protein A
储 存 液0.01M TBS(pH7.4) with 1% BSA, 0.03% Proclin300 and 50% Glycerol.
保存条件Store at -20 °C for one year. Avoid repeated freeze/thaw cycles. The lyophilized antibody is stable at room temperature for at least one month and for greater than a year when kept at -20°C. When reconstituted in sterile pH 7.4 0.01M PBS or diluent of antibody the antibody is stable for at least two weeks at 2-4 °C.
CD44v4,CD44V4抗体PubMedPubMed
产品介绍background:
The protein encoded by this gene is a cell-surface glycoprotein involved in cell-cell interactions, cell adhesion and migration. It is a receptor for hyaluronic acid (HA) and can also interact with other ligands, such as osteopontin, collagens, and matrix metalloproteinases (MMPs). This protein participates in a wide variety of cellular functions including lymphocyte activation, recirculation and homing, hematopoiesis, and tumor metastasis. Transcripts for this gene undergo complex alternative splicing that results in many functionally distinct isoforms, however, the full length nature of some of these variants has not been determined. Alternative splicing is the basis for the structural and functional diversity of this protein, and may be related to tumor metastasis. [provided by RefSeq].

Function:
Receptor for hyaluronic acid (HA). Mediates cell-cell and cell-matrix interactions through its affinity for HA, and possibly also through its affinity for other ligands such as osteopontin, collagens, and matrix metalloproteinases (MMPs). Adhesion with HA plays an important role in cell migration, tumor growth and progression. Also involved in lymphocyte activation, recirculation and homing, and in hematopoiesis. Altered expression or dysfunction causes numerous pathogenic phenotypes. Great protein heterogeneity due to numerous alternative splicing and post-translational modification events.

Subcellular Location:
Membrane.

Tissue Specificity:
Isoform 10 (epithelial isoform) is expressed by cells of epithelium and highly expressed by carcinomas. Expression is repressed in neuroblastoma cells.

Post-translational modifications:
Proteolytically cleaved in the extracellular matrix by specific proteinases (possibly MMPs) in several cell lines and tumors.
N-glycosylated.
O-glycosylated; contains more-or-less-sulfated chondroitin sulfate glycans, whose number may affect the accessibility of specific proteinases to their cleavage site(s).
Phosphorylated; activation of PKC results in the dephosphorylation of Ser-706 (constitutive phosphorylation site), and the phosphorylation of Ser-672.

CD44v4,CD44V4抗体Similarity:
Contains 1 Link domain.

Gene ID:
960

Database links:
Entrez Gene: 100034221 Horse
Entrez Gene: 960 Human
Entrez Gene: 12505 Mouse
Omim: 107269 Human
SwissProt: Q05078 Horse
SwissProt: P16070 Human
SwissProt: P15379 Mouse
Unigene: 502328 Human
Unigene: 423621 Mouse


Important Note:
This product as supplied is intended for research use only, not for use in human, therapeutic or diagnostic applications. 

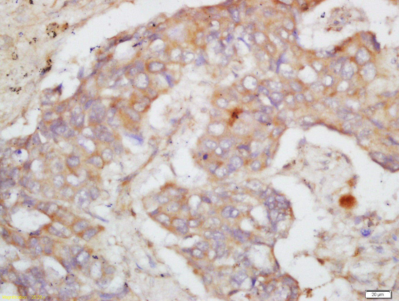
产品图片
Tissue/cell: human lung carcinoma; 4% Paraformaldehyde-fixed and paraffin-embedded; 
Antigen retrieval: citrate buffer ( 0.01M, pH 6.0 ), Boiling bathing for 15min; Block endogenous peroxidase by 3% Hydrogen peroxide for 30min; Blocking buffer (normal goat serum,C-0005) at 37℃ for 20 min; 
Incubation: Anti-CD44v4 Polyclonal Antibody, Unconjugated(HZ-2783R) 1:200, overnight at 4°C, followed by conjugation to the secondary antibody(SP-0023) and DAB(C-0010) staining