CARD15,凋亡加强结构域蛋白15抗体
英文名称: Anti-CARD15 antibody
型号:null    抗体货号: HZ-7084R
价格:请致电:010-57128832,18610462672
品牌: 中国/美国    产品商标: hzbscience

CARD15,凋亡加强结构域蛋白15抗体

产品编号HZ-7084R
英文名称CARD15
中文名称凋亡加强结构域蛋白15抗体
别 名ACUG; Arthrocutaneouveal granulomatosis; BLAU; CARD15; Caspase recruitment domain protein 15; Caspase recruitment domain-containing protein 15; CD; IBD1; Inflammatory bowel disease protein 1; LRR containing protein; LRR-containing protein; Nod2; NOD2 protein; NOD2_HUMAN; NOD2B; nucleotide binding oligomerization domain 2; nucleotide-binding oligomerization domain 2; Nucleotide-binding oligomerization domain-containing protein 2; PSORAS1.
说 明 书0.1ml 0.2ml
研究领域细胞生物 免疫学 细胞凋亡
抗体来源Rabbit
克隆类型Polyclonal
交叉反应Human, Mouse, Rat, Dog, Pig, Cow, Horse, Rabbit,
CARD15,凋亡加强结构域蛋白15抗体产品应用WB=1:100-500 ELISA=1:500-1000 IHC-P=1:100-500 IHC-F=1:100-500 Flow-Cyt=1:50-500 IF=1:100-500 (石蜡切片需做抗原修复)
not yet tested in other applications.
optimal dilutions/concentrations should be determined by the end user.
分 子 量114kDa
细胞定位细胞浆
性 状Lyophilized or Liquid
浓 度1mg/1ml
免 疫 原KLH conjugated synthetic peptide derived from human CARD15
亚 型IgG
纯化方法affinity purified by Protein A
储 存 液0.01M TBS(pH7.4) with 1% BSA, 0.03% Proclin300 and 50% Glycerol.
保存条件Store at -20 °C for one year. Avoid repeated freeze/thaw cycles. The lyophilized antibody is stable at room temperature for at least one month and for greater than a year when kept at -20°C. When reconstituted in sterile pH 7.4 0.01M PBS or diluent of antibody the antibody is stable for at least two weeks at 2-4 °C.
CARD15,凋亡加强结构域蛋白15抗体PubMedPubMed
产品介绍background:
Defects in NOD2 are the cause of sarcoidosis early-onset (EOS) . EOS is a form of sarcoidosis manifesting in children younger than 4 years of age. Sarcoidosis is an idiopathic, systemic, inflammatory disease characterized by the formation of immune granulomas in involved organs. Granulomas predominantly invade the lungs and the lymphatic system, but also skin, liver, spleen, eyes and other organs may be involved. Early-onset sarcoidosis is quite rare and has a distinct triad of skin, joint and eye disorders, without apparent pulmonary involvement. Compared with an asymptomatic and sometimes naturally disappearing course of the disease in older children, early-onset sarcoidosis is progressive and in many cases causes severe complications, such as blindness, joint destruction and visceral involvement.

Subunit:
Binds to RIPK2/RICK by CARD-CARD interaction.

Subcellular Location:
Cytoplasm.

Tissue Specificity:
Monocytes-specific.

Similarity:
Contains 2 CARD domains.
Contains 9 LRR (leucine-rich) repeats.
Contains 1 NACHT domain.

Gene ID:
64127

CARD15,凋亡加强结构域蛋白15抗体Database links:
Entrez Gene: 64127 Human
Entrez Gene: 257632 Mouse
Entrez Gene: 291912 Rat
Omim: 605956 Human
SwissProt: Q9HC29 Human
SwissProt: Q8K3Z0 Mouse
Unigene: 592072 Human
Unigene: 222633 Mouse
Unigene: 218600 Rat


Important Note:
This product as supplied is intended for research use only, not for use in human, therapeutic or diagnostic applications.

CARD15与家族性肠黏膜克罗恩病有关。

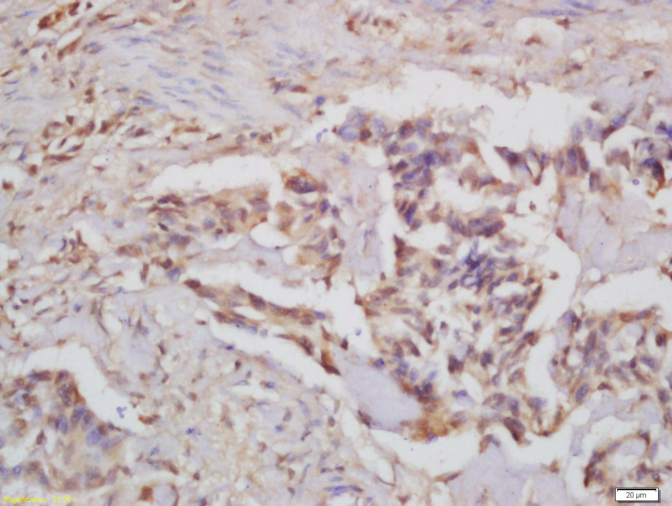
产品图片
Tissue/cell: human colon carcinoma; 4% Paraformaldehyde-fixed and paraffin-embedded; 
Antigen retrieval: citrate buffer ( 0.01M, pH 6.0 ), Boiling bathing for 15min; Block endogenous peroxidase by 3% Hydrogen peroxide for 30min; Blocking buffer (normal goat serum,C-0005) at 37℃ for 20 min; 
Incubation: Anti-CARD15 Polyclonal Antibody, Unconjugated(HZ-7084R) 1:200, overnight at 4°C, followed by conjugation to the secondary antibody(SP-0023) and DAB(C-0010) staining