caspase-3 p12 subunit,活化半胱胺酸蛋白酶蛋白3抗体
英文名称: Anti-caspase-3 p12 subunit antibody
型号:null    抗体货号: HZ-0087R
价格:请致电:010-57128832,18610462672
品牌: 中国/美国    产品商标: hzbscience

caspase-3 p12 subunit,活化半胱胺酸蛋白酶蛋白3抗体

产品编号HZ-0087R
英文名称caspase-3 p12 subunit
中文名称活化半胱胺酸蛋白酶蛋白3抗体
别 名Caspase-3 subunit p12; APOPAIN; CASP3; Caspase 3 apoptosis related cysteine protease; Caspase3; CPP32; CPP32B; Cysteine protease CPP32; Human cysteine protease CPP32 isoform alpha mRNA complete cds; PARP cleavage protease; SCA 1; SCA1; SREBP cleavage activity 1; Yama; CASP3_HUMAN; Caspase-3; CASP-3; Apopain; Protein Yama; SREBP cleavage activity 1; SCA-1.
说 明 书0.1ml 0.2ml
研究领域细胞生物 免疫学 信号转导 细胞凋亡
抗体来源Rabbit
克隆类型Polyclonal
交叉反应Human, Mouse, Rat, Dog, Rabbit,
caspase-3 p12 subunit,活化半胱胺酸蛋白酶蛋白3抗体产品应用WB=1:100-500 ELISA=1:500-1000 IHC-P=1:100-500 IHC-F=1:100-500 Flow-Cyt=1:30-300 IF=1:100-500 (石蜡切片需做抗原修复)
not yet tested in other applications.
optimal dilutions/concentrations should be determined by the end user.
分 子 量12/32kDa
性 状Lyophilized or Liquid
浓 度1mg/1ml
免 疫 原KLH conjugated synthetic peptide derived from human caspase-3 p12 subunit
亚 型IgG
纯化方法affinity purified by Protein A
储 存 液0.01M TBS(pH7.4) with 1% BSA, 0.03% Proclin300 and 50% Glycerol.
保存条件Store at -20 °C for one year. Avoid repeated freeze/thaw cycles. The lyophilized antibody is stable at room temperature for at least one month and for greater than a year when kept at -20°C. When reconstituted in sterile pH 7.4 0.01M PBS or diluent of antibody the antibody is stable for at least two weeks at 2-4 °C.
caspase-3 p12 subunit,活化半胱胺酸蛋白酶蛋白3抗体PubMedPubMed
产品介绍background:
The caspase family of cysteine proteases play a key role in apoptosis. Caspase 3 is the most extensively studied apoptotic protein among caspase family members. Caspase 3 is synthesized as inactive pro enzyme that is processed in cells undergoing apoptosis by self proteolysis and/or cleavage by other upstream proteases (e.g. Caspases 8, 9 and 10). The processed form of Caspase 3 consists of large (17kDa) and small (12kDa) subunits which associate to form an active enzyme. Caspase 3 is cleaved at Asp28 Ser29 and Asp175 Ser176. The active Caspase 3 proteolytically cleaves and activates other caspases (e.g. Caspases 6, 7 and 9), as well as relevant targets in the cells (e.g. PARP and DFF). Alternative splicing of this gene results in two transcript variants which encode the same protein. In immunohistochemical studies Caspase 3 expression has been shown to be widespread but not present in all cell types (e.g. commonly reported in epithelial cells of skin, renal proximal tubules and collecting ducts). Differences in the level of Caspase 3 have been reported in cells of short lived nature (eg germinal centre B cells) and those that are long lived (eg mantle zone B cells). Caspase 3 is the predominant caspase involved in the cleavage of amyloid beta 4A precursor protein, which is associated with neuronal death in Alzheimer's disease.

Function:
Involved in the activation cascade of caspases responsible for apoptosis execution. At the onset of apoptosis it proteolytically cleaves poly(ADP-ribose) polymerase (PARP) at a '216-Asp-|-Gly-217' bond. Cleaves and activates sterol regulatory element binding proteins (SREBPs) between the basic helix-loop-helix leucine zipper domain and the membrane attachment domain. Cleaves and activates caspase-6, -7 and -9. Involved in the cleavage of huntingtin. Triggers cell adhesion in sympathetic neurons through RET cleavage.

caspase-3 p12 subunit,活化半胱胺酸蛋白酶蛋白3抗体Subunit:
Heterotetramer that consists of two anti-parallel arranged heterodimers, each one formed by a 17 kDa (p17) and a 12 kDa (p12) subunit. Interacts with BIRC6/bruce.

Subcellular Location:
Cytoplasm.

Tissue Specificity:
Highly expressed in lung, spleen, heart, liver and kidney. Moderate levels in brain and skeletal muscle, and low in testis. Also found in many cell lines, highest expression in cells of the immune system.

Post-translational modifications:
Cleavage by granzyme B, caspase-6, caspase-8 and caspase-10 generates the two active subunits. Additional processing of the propeptides is likely due to the autocatalytic activity of the activated protease. Active heterodimers between the small subunit of caspase-7 protease and the large subunit of caspase-3 also occur and vice versa.
S-nitrosylated on its catalytic site cysteine in unstimulated human cell lines and denitrosylated upon activation of the Fas apoptotic pathway, associated with an increase in intracellular caspase activity. Fas therefore activates caspase-3 not only by inducing the cleavage of the caspase zymogen to its active subunits, but also by stimulating the denitrosylation of its active site thiol.

Similarity:
Belongs to the peptidase C14A family.

Gene ID:
836

Database links:
Entrez Gene: 836 Human
Entrez Gene: 12367 Mouse
Entrez Gene: 397244 Pig
Entrez Gene: 100008840 Rabbit
Entrez Gene: 25402 Rat
Omim: 600636 Human
SwissProt: P42574 Human
SwissProt: P70677 Mouse
SwissProt: Q95ND5 Pig
SwissProt: Q8MJC3 Rabbit
SwissProt: P55213 Rat
Unigene: 141125 Human
Unigene: 34405 Mouse
Unigene: 10562 Rat

 

Important Note:
This product as supplied is intended for research use only, not for use in human, therapeutic or diagnostic applications.

正常情况下caspase-3以无活性酶原形式存在于细胞浆中。当 caspase-3被上游caspases激活生成活化的caspase-3 p17和p12亚基,对细胞凋亡的发生和调制发挥重要作用。

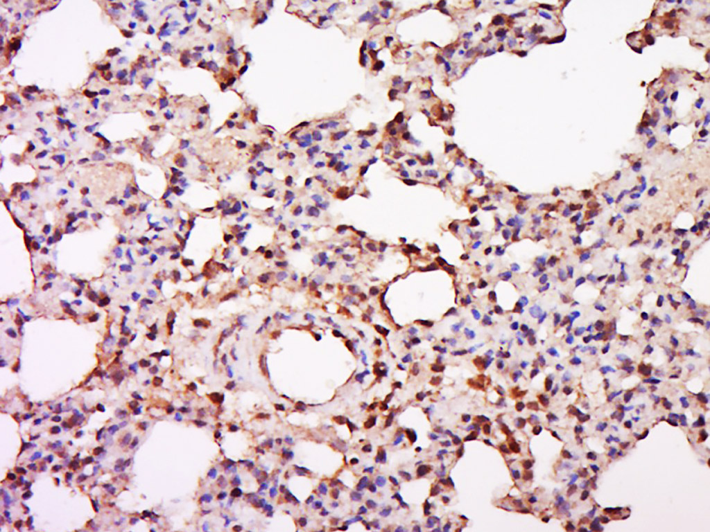
产品图片
Tissue/cell: Rat lung tissue; 4% Paraformaldehyde-fixed and paraffin-embedded; 
Antigen retrieval: citrate buffer ( 0.01M, pH 6.0 ), Boiling bathing for 15min; Block endogenous peroxidase by 3% Hydrogen peroxide for 30min; Blocking buffer (normal goat serum,C-0005) at 37℃ for 20 min; 
Incubation: Anti-Caspase-3 Polyclonal Antibody, Unconjugated(HZ-0087R) 1:500, overnight at 4°C, followed by conjugation to the secondary antibody(SP-0023) and DAB(C-0010) staining