S100A10,S100钙结合蛋白A10抗体
产品编号HZ-8503R
英文名称S100A10
中文名称S100钙结合蛋白A10抗体
别 名Alternative names42C; Annexin II ligand; Annexin II ligand, calpactin I, light polypeptide; Annexin II, light chain; ANX2L; ANX2LG; CAL12; CAL1L; Calpactin I light chain; Calpactin I, p11 subunit; Calpactin-1 light chain; Cellular ligand of annexin II; CLP11; GP11; Nerve growth factor-induced protein 42C; p10 antibody p10 protein; p11; Protein S100 A10; Protein S100-A10; S100 calcium binding protein A10 (annexin II ligand, calpactin I, light polypeptide (p11)); S100 calcium binding protein A10 (calpactin); S100 calcium binding protein A10; S100 calcium-binding protein A10; S100a10; S10AA_HUMAN.
说 明 书0.1ml 0.2ml
研究领域肿瘤 细胞生物 免疫学 神经生物学 信号转导 细胞粘附分子
抗体来源Rabbit
克隆类型Polyclonal
交叉反应 Human, Mouse, Rat, Dog, Horse,
S100A10,S100钙结合蛋白A10抗体产品应用WB=1:100-500 ELISA=1:500-1000 IHC-P=1:100-500 IHC-F=1:100-500 IF=1:50-200 (石蜡切片需做抗原修复)
not yet tested in other applications.
optimal dilutions/concentrations should be determined by the end user.
分 子 量11kDa
性 状Lyophilized or Liquid
浓 度1mg/1ml
免 疫 原KLH conjugated synthetic peptide derived from human S100A10
亚 型IgG
纯化方法affinity purified by Protein A
储 存 液0.01M TBS(pH7.4) with 1% BSA, 0.03% Proclin300 and 50% Glycerol.
保存条件Store at -20 °C for one year. Avoid repeated freeze/thaw cycles. The lyophilized antibody is stable at room temperature for at least one month and for greater than a year when kept at -20°C. When reconstituted in sterile pH 7.4 0.01M PBS or diluent of antibody the antibody is stable for at least two weeks at 2-4 °C.
S100A10,S100钙结合蛋白A10抗体PubMedPubMed
产品介绍background:
Because S100A10 induces the dimerization of ANXA2/p36, it may function as a regulator of protein phosphorylation in that the ANXA2 monomer is the preferred target (in vitro) of tyrosine-specific kinase.
Function:
Because S100A10 induces the dimerization of ANXA2/p36, it may function as a regulator of protein phosphorylation in that the ANXA2 monomer is the preferred target (in vitro) of tyrosine-specific kinase.
Subunit:
Heterotetramer containing 2 light chains of S100A10/p11 and 2 heavy chains of ANXA2/p36. Interacts with SCN10A.
Similarity:
Belongs to the S-100 family.
Database links:
UniProtKB/Swiss-Prot: P60903.2
S100A10,S100钙结合蛋白A10抗体Important Note:
This product as supplied is intended for research use only, not for use in human, therapeutic or diagnostic applications.
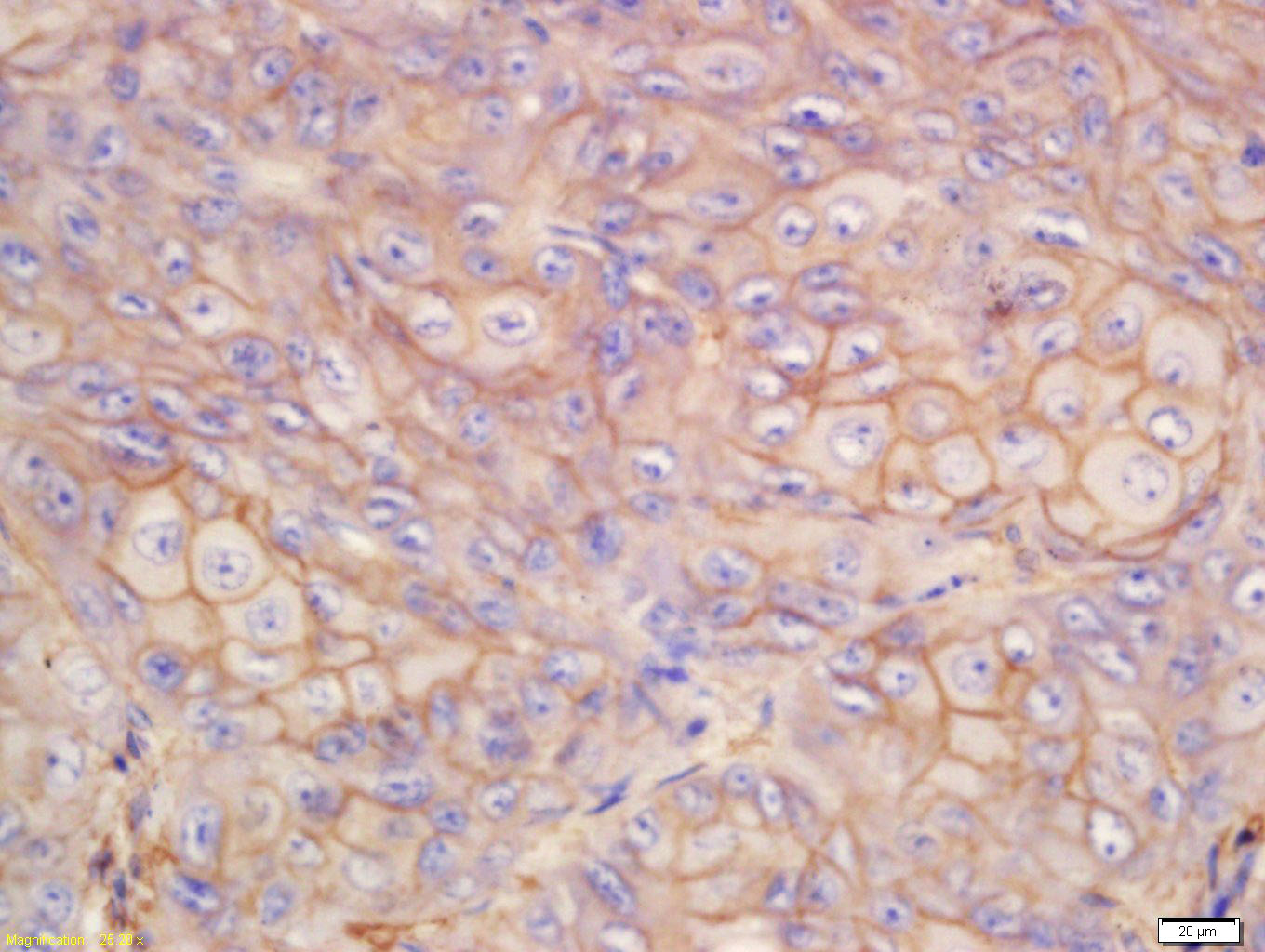
| 产品图片 | Tissue/cell: human lung carcinoma; 4% Paraformaldehyde-fixed and paraffin-embedded; Antigen retrieval: citrate buffer ( 0.01M, pH 6.0 ), Boiling bathing for 15min; Block endogenous peroxidase by 3% Hydrogen peroxide for 30min; Blocking buffer (normal goat serum,C-0005) at 37℃ for 20 min; Incubation: Anti-S100A10 Polyclonal Antibody, Unconjugated(HZ-8503R) 1:200, overnight at 4°C, followed by conjugation to the secondary antibody(SP-0023) and DAB(C-0010) staining Tissue/cell: Human laryngeal tissue; 4% Paraformaldehyde-fixed and paraffin-embedded; Antigen retrieval: citrate buffer ( 0.01M, pH 6.0 ), Boiling bathing for 15min; Block endogenous peroxidase by 3% Hydrogen peroxide for 30min; Blocking buffer (normal goat serum,C-0005) at 37℃ for 20 min; Incubation: Anti-S100A10 Polyclonal Antibody, Unconjugated(HZ-8503R) 1:200, overnight at 4°C, followed by conjugation to the secondary antibody(SP-0023) and DAB(C-0010) staining |